當代人常常被“拖延癥”所困擾著。隨便在社交平臺上一搜,關于拖延癥的話題討論就有好幾萬,或者各種“x天治療拖延癥”的線上課程備受歡迎。

不過總的來說呢,事情拖著拖著還是會去做的,問題一般不大。而如果身體某些疾病拖著不去治療,不但自己不會好反而有可能越來越嚴重,比如“角膜潰瘍”這種眼病,可千萬別采取“拖延戰術”。
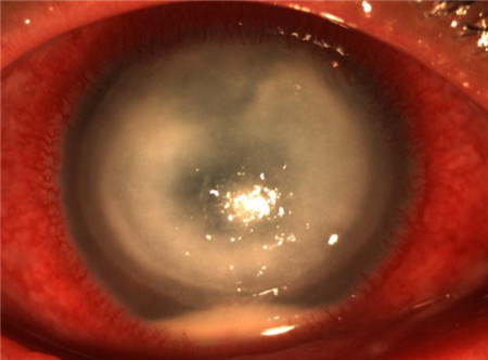
看,角膜潰瘍為什么不能“拖延”
口腔潰瘍、胃潰瘍,很多人都聽過,卻不知道角膜也可能會發生“潰瘍”。我們的眼睛角膜雖薄,卻由上皮細胞層、Bowman層、基質層、Descemet膜、內皮細胞層這五層組織構成,角膜潰瘍發生的部位主要在上皮細胞層、Bowman層以及基質層。

角膜上皮細胞在最外層,由于它生長速度較快,即使發生了損傷,在24小時之內一般都能夠自行修復,而且不會產生疤痕。但當角膜潰瘍侵襲至Bowman層或者基質層時,就非常危險了,因為它們受到損傷之后是不會再生的,而是會留下角膜疤痕。
當角膜產生疤痕之后,會因此變得渾濁,將對視力產生嚴重影響,比如視物模糊、散光等。此外,若不及時控制炎癥還有可能引起眼內發炎,甚至波及整個眼球。所以角膜潰瘍這個眼疾應該及早治療,“拖延”是解決不了問題的。
角膜潰瘍多與細菌感染有關
造成角膜潰瘍的原因有很多,角膜擦傷、角膜異物或者某些原因導致的角膜病變、眼部炎癥等都有可能引發角膜潰瘍。根據是否被微生物感染,角膜潰瘍又可分為感染性和非感染性,感染性的角膜潰瘍主要有下面四種:
1、細菌性角膜潰瘍:比如被指甲劃傷、植物劃傷、鐵屑異物刺傷等,均有可能引起角膜被細菌感染而導致潰瘍,這種因細菌感染所致的角膜潰瘍是比較多見的。

2、真菌性角膜潰瘍:除了被細菌感染,真菌也很容易導致角膜感染形成潰瘍,多見于從事農業勞動者(眼睛容易被農作物割傷),而慢性角膜炎也有可能繼發真菌感染。
3、病毒性角膜潰瘍:這種類型的角膜潰瘍多因皰疹病毒感染所致,皰疹病毒具有一定的潛伏性,可在身體免疫力下降時發作,發病前往往伴隨感冒發熱、皮膚皰疹等疾病。

4、阿米巴原蟲:在角膜受傷之后,若接觸到了被污染的水源或者土壤,便有可能感染阿米巴原蟲,經常戴隱形眼鏡的人以及眼睛受外傷者是“高危”群體。
找到病因,及時進行消炎治療
雖然角膜潰瘍的成因以及類型都比較多,但他們的癥狀大體是差不多的,眼痛、畏光、流眼淚、眼睛發紅、分泌物增多等都是其典型的癥狀。當病變發生在角膜的中央,還可能出現視物模糊、視力下降。當眼睛出現這些不適癥狀時,不要自行購買眼藥水治療,更不要拖著不管,而應馬上前往醫療進行診治。
對于角膜潰瘍,若能及時治療可防止疤痕形成而避免視力受到影響。北京希瑪林順潮眼科醫院認為,角膜潰瘍治療的關鍵在于要找到致病原因,通過及時消炎來促進上皮的愈合。針對非感染性的角膜潰瘍,需要采用抗生素和類固醇藥物來預防感染以及消除炎癥。
而對于感染性的細菌性角膜潰瘍需要使用抗生素藥水或者藥膏進行治療,為了強化治療,希瑪醫生也會考慮為患者進行結膜下抗生素注射治療。而對于真菌性、病毒性以及阿米巴原蟲引起的角膜潰瘍,除了需要進行抗生素治療之外,還需要針對病原進行相關治療。

眼科全科
眼科全科,主攻眼底病的診斷治療
擅長疑難青光眼的診治
眼底病、黃斑疾病、玻璃體視網膜手術
眼底病的診治,尤其專長于糖尿病視網膜病變、黃斑疾病和視網膜移植
兒童視覺發育性眼病診治
屈光矯視、白內障、眼整形、老視個性化手術設計及矯正、眼底手術治療
眼科全科、眼底病、白內障、青光眼
屈光性白內障、青光眼、晶體植入
青光眼、白內障及眼底病
白內障、淚道、眼整形、青光眼的診斷及治療
弱視、斜視、屈光不正、近視、復視、眼球震顫的診斷和治療
屈光不正、白內障、眼底常見病