人一旦上了年紀,長皺紋、生白發、眼睛老花都是稀松平常的事情。所以很多老年人發現自己視力變差時,會想當然地以為是老花眼所致,算不上什么大問題。
但老年人視力下降,除了老花眼之外,也可能是其他眼病引起,如白內障、黃斑病變等。其中,年齡相關性黃斑變性很容易被患者誤以為是老花眼,而不當回事。
要知道,黃斑變性對視力的傷害非常大。如果因為疏忽把黃斑變性當成老花眼,很容易因此錯失好的治療時間。
都是視力不好,黃斑變性和老花眼有何區別?
老花眼并不是一個疾病,而是一種正常的生理現象。伴隨著年齡增長,晶狀體的彈性會降低,眼部肌肉的調節能力也會下降,由此導致在看近處時調節能力變弱,無法準確將影像聚焦在視網膜上,所以會出現視物模糊的癥狀。
一般如果在看書或者看報時,看不清小字體,需要將視物目標移至一臂長的距離處,才可以看清,這種屬于老花眼。

黃斑變性跟老花眼一樣,也與年齡、老化有著密切關系,但黃斑變性是一種可損害視力的疾病,而且這種損害是不可逆的,若未及時治療還有失明的風險。
患上黃斑變性,除了看東西模模糊糊之外,還會出現視物變形、視野中央出現盲點或者黑點等癥狀。如看手機、報紙時,一行行文字變得歪歪扭扭的,無論離近還是離遠都不能改善這種情況,這些癥狀都是老花眼所沒有的。
因此,即使是老年人視力下降,同樣應該引起重視。
認識黃斑,了解黃斑變性的危害
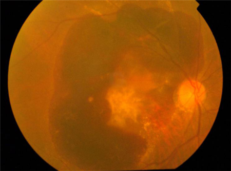
黃斑是位于視網膜中央的一個正常部位,同時也是負責中央視力的重要區域,我們平時辨識面孔、分辨顏色、開車、閱讀等都需要擁有良好的黃斑功能。如果黃斑區域發生病變,將會對視力產生極大的威脅,而黃斑變性就屬于黃斑病變的其中一種。
隨著年齡增長,視網膜組織會發生退化變薄,黃斑功能也會有所下降,就可能發生黃斑變性。其中,有一部分患者屬于濕性黃斑變性,由脈絡膜血管增生所引起。這些不正常的新生血管很容易發生滲漏和出血,如果沒有及時處理,血液和滲出物將積聚于黃斑區,進而破壞區內的感光細胞,導致不可逆的視力受損甚至失明。

除了年齡之外,吸煙、家族遺傳、血管系統疾病和高血壓患者、長期接觸猛烈陽光等都是發生黃斑變性的危險因素。如果想要預防黃斑變性,就需要從這些方面入手,如戒煙、做好眼部防曬(防紫外線)、保持健康的飲水習慣等。此外,還建議45歲以上的年長人士至少間隔1年-2年定期做眼部檢查,以便及早發現問題并采取治療措施。
“三管齊下”治療濕性黃斑變性,可防止視力進一步衰退
雖然黃斑變性是一種嚴重可致盲的眼病,但只要發現及時并采取合理的治療方法,便有機會幫助患者防止視力進一步衰退甚或改善視力。
一般情況下,干性黃斑變性對視力影響較小,可先觀察暫無須治療(病情一旦惡化便有機會轉變成濕性)。如果屬于濕性黃斑變性,就需要及時接受治療。
北京希瑪林順潮眼科醫院治療濕性黃斑變性主要采取激光光凝凝固、光動力療法、類固醇玻璃體注射、抗血管內皮生長因子玻璃體注射等方式。其中,由于激光光凝凝固治療可能破壞附近組織,因此僅適合黃斑變性位置離黃斑點中央有一定距離的患者。

大部分黃斑變性患者可通過玻璃體內注射抗血管內皮生長因子進行治療,也有的患者可能需要結合光動力療法﹑類固醇玻璃體注射及抗血管內皮生長因子玻璃體注射三種治療方式,進行“三管齊下”。至于具體采取何種治療方式,我們醫生會根據每位患者的實際情況制定合理的治療方案,幫助患者“留住光明”。

眼科全科
眼科全科,主攻眼底病的診斷治療
擅長疑難青光眼的診治
眼底病、黃斑疾病、玻璃體視網膜手術
眼底病的診治,尤其專長于糖尿病視網膜病變、黃斑疾病和視網膜移植
兒童視覺發育性眼病診治
屈光矯視、白內障、眼整形、老視個性化手術設計及矯正、眼底手術治療
眼科全科、眼底病、白內障、青光眼
屈光性白內障、青光眼、晶體植入
青光眼、白內障及眼底病
白內障、淚道、眼整形、青光眼的診斷及治療
弱視、斜視、屈光不正、近視、復視、眼球震顫的診斷和治療
屈光不正、白內障、眼底常見病